ما هو فينير الأسنان؟ دليل عدسات الأسنان في دنتكس
في عالمنا الحديث، لم تعد الابتسامة مجرد تعبير عن المشاعر، بل أصبحت أداة قوية للتواصل والتأثير. الابتسامة الجميلة والمرتبة تمنحك ثقة بالنفس وتترك انطباعًا أوليًا لا يُنسى. ولأن التفاصيل الصغيرة تصنع فرقًا كبيرًا، أصبح فينير الأسنان، المعروف أيضًا باسم عدسات الأسنان التجميلية، من أكثر الحلول طلبًا في مراكز تجميل الأسنان وعيادات طب الأسنان على مستوى العالم.
سواء كنت تبحث عن عيادة أسنان قريبة مني أو ترغب في زيارة عيادات تجميل الرياض، فإن فهم ما هو فينير الأسنان وكيفية عمله وأنواعه سيمنحك القدرة على اختيار الحل الأمثل لمظهرك وابتسامتك.
ما هو فينير الأسنان؟
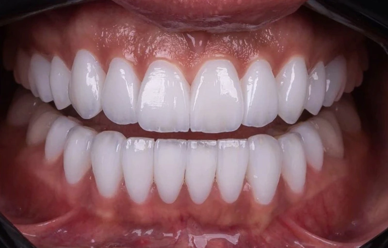
فينير الأسنان هو عبارة عن قشرة رقيقة جدًا يتم تركيبها على السطح الأمامي للأسنان بهدف تحسين مظهر الابتسامة وإخفاء العيوب التجميلية. تُعرف هذه القشور أيضًا باسم عدسات الأسنان، وهي مصممة خصيصًا لتتناسب مع شكل كل سن وحجم الفم ولونه الطبيعي.
يتم تصنيع عدسات الأسنان عادة من نوعين رئيسيين من المواد:
-
الخزف الطبي أو البورسلين: يتميز بمظهر طبيعي ولمعان مشابه للأسنان الأصلية، كما أنه مقاوم للتصبغات ولديه عمر طويل يصل إلى 15 سنة أو أكثر.
-
الريزين المركب (الكومبوزيت): يُركب مباشرة على الأسنان داخل عيادة طب الأسنان في جلسة واحدة، ويعتبر خيارًا أسرع وأقل تكلفة، لكنه يحتاج إلى صيانة دورية.
باستخدام الفينير، يمكن علاج العديد من المشاكل التجميلية مثل:
- الأسنان المكسورة أو المشقوقة
- الأسنان المتفاوتة الحجم أو الشكل
- المسافات بين الأسنان
- تغير لون الأسنان أو التصبغات
وليس الغرض التجميل فقط؛ بل إن تركيب عدسات الأسنان يعزز من حماية السن الطبيعي ويقلل من فرصة تعرضه للتلف في المستقبل.
خطوات تركيب فينير الأسنان في العيادات
إذا كنت تبحث عن أخصائي أسنان أو عيادة أسنان قريبة مني، من المهم أن تعرف خطوات تركيب عدسات الأسنان لتطمئن إلى جودة العملية ونتائجها:
-
الفحص والتحليل المبدئي: يقوم أخصائي الأسنان بفحص صحة الأسنان واللثة والتأكد من خلو الفم من التسوس أو مشاكل الإطباق.
-
تحضير الأسنان: تُزال طبقة رقيقة جدًا من مينا السن، غالبًا لا تتجاوز المليمتر، لتوفير مساحة لتركيب الفينير. يتم ذلك تحت التخدير الموضعي لضمان الراحة.
-
أخذ طبعة دقيقة: يمكن استخدام الطريقة التقليدية أو الطباعة الرقمية ثلاثية الأبعاد، حيث تُرسل إلى المختبر في مراكز تجميل الأسنان لصنع القشور بشكل متطابق مع شكل الأسنان الطبيعية.
-
تركيب الفينير: بعد تجهيز القشور، يتم تثبيتها باستخدام لاصق طبي قوي يضمن ثبات عدسات الأسنان واندماجها الطبيعي مع الأسنان المجاورة.
أنواع فينير الأسنان المتوفرة في عيادات الأسنان
هناك عدة أنواع من عدسات الأسنان، والاختيار يعتمد على حالة الأسنان ونتائجك المرجوة:
-
فينير البورسلين: الأفضل للمظهر الطبيعي والمتانة العالية، مقاوم للتصبغات ويستمر لفترة طويلة.
-
فينير الكومبوزيت: مناسب لمن يريد حلًا سريعًا واقتصاديًا، يتم تركيبه في جلسة واحدة دون الحاجة لمختبر.
-
فينير دون تحضير (No-Prep): قشور رقيقة جدًا، لا تتطلب إزالة من المينا، مثالية للحفاظ على بنية السن الطبيعية.
-
الفينير القابل للإزالة (Snap-On): حل مؤقت لتجميل الابتسامة خلال المناسبات دون تغيير دائم.
فوائد تركيب عدسات الأسنان
تركيب فينير الأسنان في عيادات تجميل الأسنان يمنحك فوائد متعددة، منها:
-
تحسين شكل الأسنان والابتسامة بشكل واضح وطبيعي
-
إخفاء العيوب مثل التشققات أو التصبغات
-
زيادة ثقتك بنفسك في الاجتماعات والمناسبات
-
حماية السن من التآكل والتلف في بعض الحالات
العناية بعد تركيب فينير الأسنان
لضمان بقاء عدسات الأسنان جميلة وفعالة لأطول فترة ممكنة، يُنصح بالآتي:
-
تنظيف الأسنان مرتين يوميًا باستخدام فرشاة ناعمة ومعجون يحتوي على الفلورايد
-
استخدام خيط الأسنان أو فرشاة بينية للتخلص من بقايا الطعام
-
الحد من تناول المشروبات المسببة للتصبغات مثل القهوة والشاي والمشروبات الغازية
-
تجنب قضم الأشياء الصلبة مثل الثلج أو الحلوى الصلبة
-
المراجعة الدورية لدى أخصائي أسنان كل ستة أشهر لضمان ثبات الفينير
باتباع هذه النصائح، يمكن أن يدوم فينير الأسنان لفترة طويلة مع الحفاظ على الابتسامة المثالية.
من هو المرشح المثالي لتركيب عدسات الأسنان؟
على الرغم من مزايا فينير الأسنان، إلا أنه لا يناسب كل الحالات. يجب مراعاة:
-
معالجة أي تسوس أو أمراض في اللثة قبل التركيب
-
تجنب الفينير إذا كنت تعاني من صرير الأسنان أو مشاكل في الإطباق
-
مناقشة التوقعات مع أخصائي أسنان لتحديد أفضل الخيارات بين الفينير، التيجان، أو التقويم
لماذا عليك اختيار عيادات تجميل الأسنان الموثوقة؟
زيارة عيادات تجميل الرياض ذات الخبرة أمر ضروري للحصول على أفضل النتائج. عند البحث عن عيادة أسنان قريبة مني، تأكد من:
-
وجود أخصائي أسنان معتمد ومتخصص في تركيب الفينير
-
استخدام أحدث التقنيات في تصميم عدسات الأسنان
-
توفر عروض عيادات الأسنان لتقليل التكلفة دون التأثير على الجودة
باختيار العيادة المناسبة، ستحصل على ابتسامة طبيعية، متناسقة، ونتائج طويلة الأمد تعكس ثقتك بنفسك.
الخلاصة
فينير الأسنان أو عدسات الأسنان هو الحل المثالي لتحسين الابتسامة وإخفاء عيوب الأسنان بطرق آمنة وفعّالة. من خلال اختيار النوع المناسب، وزيارة عيادات تجميل الأسنان الموثوقة، والالتزام بالعناية اليومية، يمكن أن تحافظ على ابتسامتك المشرقة لأعوام طويلة.
لا تتردد، ابحث عن عيادة أسنان قريبة مني، استشر أخصائي أسنان، واستفد من عروض عيادات الأسنان لتجربة تركيب الفينير بطريقة آمنة واحترافية.
فينير الأسنان أو ما يُعرف بـ عدسات الأسنان التجميلية هو من أبرز الحلول الحديثة في تجميل الأسنان للحصول على ابتسامة مشرقة ومتناسقة.
كثير من الأشخاص يعانون من تصبغات، تشققات أو فراغات بين الأسنان تجعل ابتسامتهم غير مثالية. وهنا يأتي دور الفينير الذي يمنح مظهرًا طبيعيًا ونتائج طويلة الأمد.
الفينير لا يحسّن المظهر فقط، بل يعزز الثقة بالنفس بشكل كبير، خاصة عند التحدث أو الابتسام. ويُعد من أكثر الإجراءات طلبًا في مجال ابتسامة هوليود بسبب نتائجه السريعة والمضمونة.
الأسئلة الشائعة حول فينير الأسنان
ما هو فينير الأسنان وهل هو دائم؟
نعم، الفينير حل دائم يتم لصقه بشكل ثابت ولا يمكن إزالته بسهولة بعد التركيب.
ما الفرق بين الفينير واللومينير؟
الفينير أكثر سماكة وأقل تكلفة، بينما اللومينير أرفع ولا يحتاج لبرد الأسنان وغالبًا أغلى سعرًا.
هل يحتاج تركيب الفينير إلى برد الأسنان؟
يُزال فقط 0.3 – 0.5 ملم من مينا السن لضمان تثبيت العدسة، وهو إجراء آمن تحت إشراف الطبيب.
ما الحالات المناسبة للفينير؟
التصبغات، الكسور الطفيفة، والفراغات بين الأسنان هي الحالات الأكثر شيوعًا لتركيب الفينير.
كم يدوم فينير الأسنان؟
يدوم من 10 إلى 15 سنة مع العناية المنتظمة وزيارات الفحص الدورية.





