ما هي مدة تقويم الأسنان الأمامية لسد الفراغات؟
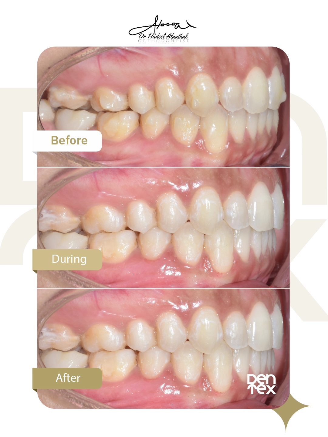
الابتسامة الجميلة تبدأ من أسنان متناسقة وصحية. لكن عندما تكون الأسنان الأمامية بارزة أو بها فراغات أو غير مستقيمة، يبدأ البحث عن حل فعّال يعيد التوازن والجمال — وهنا يظهر دور تقويم الأسنان الأمامية.
لكن السؤال الأهم الذي يتكرر هو كم مدة تقويم الأسنان الأمامية؟ – وكم مدة التقويم الشفاف؟:
الإجابة ليست واحدة للجميع، فمدة العلاج تختلف من حالة لأخرى. في هذا المقال من عيادة دنتكس – افضل عيادة اسنان بالرياض، سنشرح كل ما تحتاج معرفته عن أنواع التقويم ومدة العلاج والعوامل التي تؤثر عليها.
ما هو تقويم الأسنان الأمامية؟
تقويم الأسنان الأمامية هو إجراء يجمع بين العلاج والتجميل، يهدف إلى تصحيح محاذاة الأسنان الأمامية وتحسين شكل الابتسامة.
يُستخدم لعلاج:
- بروز الأسنان الأمامية.
- الفراغات البسيطة بين الأسنان.
- الانحراف أو التزاحم في الصف الأمامي للأسنان.
ولا تتوقف فوائده على الناحية الجمالية فقط، بل تشمل أيضًا تحسين النطق، وتوزيع قوة المضغ، وتقليل خطر التسوس الناتج عن صعوبة تنظيف الأسنان المتزاحمة.
أنواع تقويم الأسنان وأيها يناسب حالتك
1. التقويم المعدني التقليدي
من أقدم وأكثر الأنواع فعالية، خصوصًا للحالات المعقدة مثل تزاحم الأسنان أو بروزها الواضح.
يعمل على تحريك الأسنان تدريجيًا باستخدام أسلاك وأقواس معدنية.
رغم أنه أقل جمالية، إلا أنه الأكثر دقة في تحقيق النتائج.
المدة المتوقعة: من 12 إلى 18 شهرًا حسب الحالة.
2. التقويم الشفاف (Invisalign)
من الخيارات الحديثة التي أصبحت الأكثر طلبًا، خاصة للبالغين الذين يبحثون عن مظهر طبيعي أثناء العلاج.
يتميز بأنه شفاف، مريح، وقابل للإزالة عند الأكل أو تنظيف الأسنان.
كم مدة التقويم الشفاف؟
في أغلب الحالات البسيطة، تستمر مدة التقويم الشفاف من 6 إلى 12 شهرًا فقط، وتظهر النتائج الأولى بعد 4 أشهر عند الالتزام بارتدائه يوميًا لمدة 22 ساعة.
3. التقويم المتحرك للأطفال
يُستخدم في مرحلة النمو المبكرة لتوجيه الأسنان بشكل صحيح ومنع تزاحمها في المستقبل.
يساعد على تصحيح العادات الفموية مثل مص الإصبع، ويهيئ الطفل للتقويم الثابت لاحقًا.
في دنتكس، يشرف على العلاج افضل دكتور اسنان اطفال شرق الرياض بخبرة في التعامل مع الأطفال بلطف واحترافية.
كم تستغرق مدة تقويم الأسنان الأمامية بالتفصيل؟
مدة تقويم الأسنان الأمامية تعتمد على عدة عوامل، منها:
- درجة المشكلة: كلما كانت الفراغات أو البروز أكبر، زادت مدة التقويم.
- نوع التقويم المستخدم: التقويم الشفاف أسرع في الحالات البسيطة، بينما المعدني أدق للحالات المعقدة.
- عمر المريض: الأطفال والمراهقون تستجيب أسنانهم بشكل أسرع.
- التزام المريض: الحضور المنتظم للزيارات واتباع تعليمات الطبيب يقلل مدة التقويم بشكل ملحوظ.
- خبرة الطبيب وخطة العلاج: في دنتكس نستخدم فحوصات رقمية متقدمة لتحديد مدة العلاج بدقة قبل البدء.
عادةً تتراوح المدة بين 6 إلى 18 شهرًا، وقد تقل في الحالات البسيطة باستخدام التقويم الشفاف.
مدة تقويم الأسنان لسد الفراغات والفك المتقدم
بعض الحالات لا تتعلق فقط بترتيب الأسنان الأمامية، بل تشمل مشاكل في الفك أو وجود فراغات واضحة.
في هذه الحالات، تختلف مدة تقويم الأسنان لسد الفراغات حسب اتساع المسافات وعدد الأسنان المتأثرة.
أما مدة تقويم الأسنان للفك المتقدم فقد تستغرق من سنة إلى سنتين، ويُحدد ذلك الطبيب بعد الفحص السريري.
وفي دنتكس – افضل مركز اسنان في الرياض، نستخدم صور الأشعة ثلاثية الأبعاد لتحديد الخطة المثالية دون إطالة مدة العلاج.
هل يمكن تسريع مدة تقويم الأسنان؟
نعم، يمكن تقليل المدة باتباع تعليمات الطبيب بدقة، مثل:
- ارتداء التقويم الشفاف 22 ساعة يوميًا.
- تجنب الأطعمة الصلبة أو اللزجة التي قد تؤخر العلاج.
- الحفاظ على نظافة الفم واللثة.
- الحضور المنتظم لجلسات المراجعة.
كما نوفر في عيادات دنتكس أجهزة حديثة لتسريع حركة الأسنان بشكل آمن دون التأثير على صحة اللثة أو العظام.
هل تقويم الأسنان مؤلم؟
قد يشعر المريض بضغط خفيف أو انزعاج خلال الأيام الأولى بعد تركيب التقويم، وهذا طبيعي تمامًا.
الانزعاج يعني أن الأسنان بدأت بالتحرك تدريجيًا نحو وضعها الصحيح.
غالبًا ما يختفي الشعور خلال أسبوع ويمكن تخفيفه بمسكنات بسيطة عند الحاجة.
تقويم الأسنان السريع: خيار لمن يبحث عن نتائج أسرع
إذا كنت تبحث عن تقويم أسنان سريع النتائج، فقد يكون التقويم الشفاف هو الأنسب لك.
يمنح نتائج أسرع من التقويم التقليدي في الحالات البسيطة، كما أنه أكثر راحة ومرونة في الاستخدام.
ومع ذلك، لا يمكن تطبيقه في جميع الحالات، لذلك من المهم استشارة دكتور اسنان مختص لتحديد النوع الأنسب.
بعد إزالة التقويم: كيف تحافظ على النتيجة؟
المرحلة الأهم بعد انتهاء التقويم هي تثبيت النتائج.
ينصح أطباء دنتكس بارتداء المثبّت الليلي للحفاظ على موضع الأسنان الجديد، مع الاهتمام بالنظافة الفموية وزيارة الطبيب كل 6 أشهر.
تذكّر أن النتائج النهائية تعتمد على التزامك بعد العلاج بقدر ما تعتمد على التقويم نفسه.
لماذا تختار عيادة دنتكس بالرياض؟
- فريق طبي متخصص: يضم أطباء معتمدين في تقويم الأسنان والعناية بالفكين.
- تقنيات رقمية حديثة: نستخدم التصوير ثلاثي الأبعاد لتحديد خطة العلاج بدقة.
- قسم خاص للأطفال: بإشراف افضل طبيب اسنان اطفال في الرياض.
- خدمات تجميلية متقدمة: تشمل الحشوات التجميلية، الفلورايد، والتيجان الوقائية.
- موقع مركزي في شرق الرياض يسهل الوصول إليه.
احجز استشارتك اليوم في دنتكس
ابدأ رحلتك نحو ابتسامة مثالية بثقة مع عيادة دنتكس – افضل عيادة تقويم اسنان بالرياض.
احجز موعدك الآن مع دكتور اسنان مختص لتعرف بدقة:
- كم مدة التقويم الشفاف في حالتك؟
- كم تستغرق مدة تقويم الأسنان الأمامية؟
- وأي نوع يناسبك أكثر لتحقيق أسرع وأفضل النتائج؟
احجز موعدك الآن في دنتكس واستعد لابتسامة واثقة تدوم مدى الحياة.
الأسئلة الشائعة
ما هي أسرع طريقة لتقويم الأسنان الأمامية بدون تقويم ثابت؟
أسرع طريقة عادةً تكون عبر التقويم الشفاف المتحرك، مثل Invisalign. يمكن استخدامه في الحالات البسيطة والمتوسطة ويعطي نتائج فعّالة خلال 6 إلى 9 أشهر، بشرط الالتزام بارتدائه 22 ساعة يوميًا.
هل تختلف مدة تقويم الأسنان الأمامية حسب عمر المريض؟
نعم، فكلما كان المريض أصغر عمرًا، كانت مدة تقويم الأسنان الأمامية أقصر. استجابة العظام والأسنان للحركة تكون أفضل لدى المراهقين، بينما قد يحتاج البالغون إلى وقت أطول قليلاً لنفس النتيجة.
ما هي مدة تقويم الأسنان الأمامية في حال وجود فراغات فقط؟
إذا كانت المشكلة فقط فراغات بين الأسنان، فقد تكون مدة تقويم الأسنان الأمامية قصيرة، من 4 إلى 8 أشهر في كثير من الحالات، خاصة عند استخدام التقويم الشفاف أو المعدني الخفيف.
هل يمكن استخدام تقويم شفاف للأسنان الأمامية فقط؟ وهل هو فعال؟
نعم، يمكن استخدام تقويم شفاف للأسنان الأمامية فقط، وهو فعّال جدًا في الحالات الخفيفة إلى المتوسطة. لكن يعتمد نجاحه على التشخيص السليم ومدى التزام المريض بارتدائه بشكل يومي.
متى تظهر نتائج تقويم الأسنان الأمامية؟ وهل هي دائمة؟
تبدأ النتائج بالظهور من الشهر الثاني أو الثالث، لكن الشكل النهائي يظهر بعد انتهاء العلاج. ومع استخدام المثبت بعد انتهاء تقويم الأسنان الأمامية، تبقى النتائج ثابتة لسنوات طويلة.
احجز موعدك الآن




